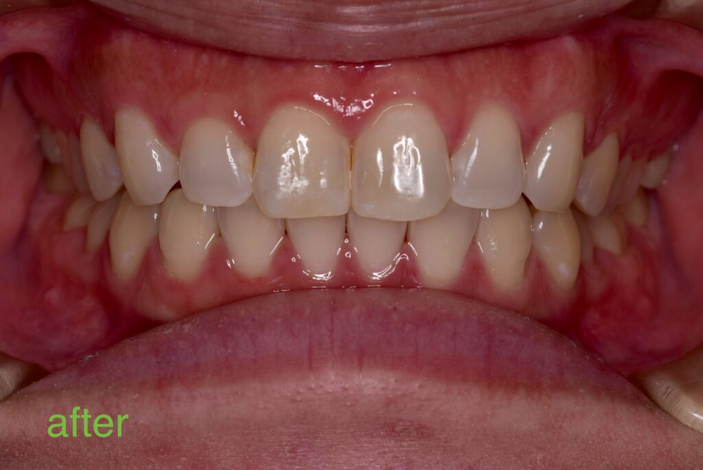
ホワイトニング🦷✨
こんにちは!
岡山市北区の歯医者、
イマムラデンタルクリニックです🦷✨
皆さん、ホワイトニングに興味はありますか❓
イマムラデンタルクリニックでは、オフィスホワイトニングとホームホワイトニングを取り入れております😬
⭐️オフィスホワイトニング
・歯科医院で歯科衛生士がおこないます
・一回で白くなります(個人差あり)
・22000円(税込)
・短時間で白くなる反面、後戻りが早いです
・ご自身での操作がないので、トラブルが起きにくいです
⭐️ホームホワイトニング
・マウスピースを歯科医院で作って、お家で患者さまご自身がおこないます
・回数を重ねてじわじわ白くなります
・22000円(税込)マウスピース➕薬剤1週間分
・白くなるのは遅いですが、効果は少し長持ちします
・自分の好きなタイミングでホワイトニングできます
以上のような違いがあります‼️
気になる方はぜひご相談ください☺️
ご予約お待ちしております🥰


岡山市北区今2丁目9-14
📞086-250-6402
イマムラデンタルクリニック
(月)~(金)9時~13時、14時半~18時半
(土) 9時~13時、14時~17時
休診日※水曜、日曜、祝

